+420 727 808 725
Online rezervace
Služba

Dentální hygiena

Pravidelná prevence a profesionální hygiena pro zdravé zuby i dásně.

Detail péče

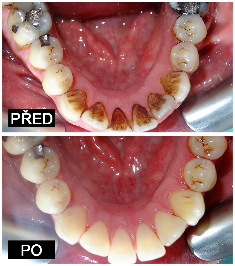
Dentální hygiena

Je velmi důležitá z hlediska prevence onemocnění parodontu a vzniku zubního kazu. Pravidelnou návštěvou dentální hygieny alespoň dvakrát ročně lze předejít vážným onemocněním v dutině ústní.

  • Hygienická instruktáž a individuální výběr pomůcek pro čištění zubů a mezizubních prostor.
  • Bezbolestné odstranění zubního kamene pomocí ultrazvukové koncovky.
  • Depurace zubů a přeleštění pomocí speciálního kartáčku a lešticí pasty s fluoridy.
  • Pískování Air Flow pro odstranění pigmentů bez poškození skloviny.
  • Kyretáž pro odstranění těžko dostupného zubního kamene.

Doplňující fotografie

Dentální hygiena před a po 1
Dentální hygiena před a po 2
Dentální hygiena před a po 3